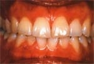
ホームホワイトニング
歯の色が気になる方には自宅で手軽に行えるホームホワイトニングをお勧めします。
保険外診療 30,000円(上下顎込み)〜
| 術前 | 術後 |
![]() |
![]() |
| 専用のマウストレーにホワイトニング剤を入れ1日2時間装着し2週間程使用します。 |
白さには個人差があります。 |

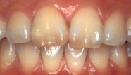
歯の色が気になる方には自宅で手軽に行えるホームホワイトニングをお勧めします。
保険外診療 30,000円(上下顎込み)〜
| 術前 | 術後 |
![]() |
![]() |
| 専用のマウストレーにホワイトニング剤を入れ1日2時間装着し2週間程使用します。 |
白さには個人差があります。 |

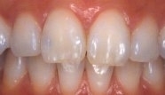
歯ぐきの黒ずみが気になる方に
歯肉の黒ずみの原因はタバコやメラニンによる色素沈着です。
保険外診療 10,000円(上下顎込み)
| 術前 | 術後 |
![]() |
![]() |
|
薬剤(フェノール)塗布法をお勧めします。 |
4~5年で黒ずみがもどってくることがあります。 |